


症例集
矯正治療+インプラント治療
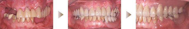
強烈な歯ぎしりによる歯列崩壊を、マウスピースと歯列矯正とインプラント治療を用いて顎関節症も含めて治癒させた症例



ブリッジによる審美修復


金属床義歯製作の一例
歯列矯正治療例1
歯列矯正治療例2



歯列矯正治療例3



症例集:治療について«本八幡で歯医者をお探しなら、本八幡駅徒歩1分のたかはし歯科医院へご相談ください。当院では、歯の命を救うことを歯科医師の本来の使命と考え、「できる限り歯を抜かない」治療に努めています。|smartphone



強烈な歯ぎしりによる歯列崩壊を、マウスピースと歯列矯正とインプラント治療を用いて顎関節症も含めて治癒させた症例










